セントラルシティこころで皮膚科開院~それまでの道のりと雑感を~
平成25年に安佐南区こころで皮膚科の開院し、令和5年4月2日で10周年を迎えました。無愛想と言われつつ、口コミに悪口を書かれつつ、それでも何とか診療を続けています。院長の放言をブログにしたためています。
カレンダー
10
2025/11
12
S
M
T
W
T
F
S
1
2
3
4
5
6
7
8
9
10
11
12
13
14
15
16
17
18
19
20
21
22
23
24
25
26
27
28
29
30
リンク
こころ皮ふ科クリニック
管理画面
新しい記事を書く
カテゴリー
皮膚科 ( 130 )
釣り ( 21 )
自転車 ( 6 )
雑感 ( 120 )
広島カープ ( 13 )
時事 ( 88 )
リフォーム ( 9 )
入院 ( 14 )
院長のシミの治療 ( 10 )
防犯カメラ ( 3 )
甲状腺乳頭癌 ( 0 )
フリーエリア
最新コメント
困難な場所の成功秘訣
[11/13 Dwaynefus]
島の興味深い事実
[11/10 Dwaynefus]
ルート
[11/08 Dwaynefus]
無題
[11/07 動物の回廊]
無題
[11/05 アカデミア美術館]
最新記事
三次の初冬
(11/25)
福岡の講演会に出席、ついでにライブに参加
(11/10)
久しぶりに釣り
(10/31)
逆襲の維新
(10/17)
高市新総裁
(10/07)
最新トラックバック
プロフィール
HN:
derma
年齢:
57
性別:
男性
誕生日:
1968/04/25
職業:
医師
趣味:
釣り
自己紹介:
平成25年に広島のとある団地で皮膚科を開業する予定です。これからおこるいろいろな悲喜交々を書いていこうと思います。
バーコード
RSS
RSS 0.91
RSS 1.0
RSS 2.0
ブログ内検索
アーカイブ
2025 年 11 月 ( 2 )
2025 年 10 月 ( 3 )
2025 年 09 月 ( 4 )
2025 年 08 月 ( 1 )
2025 年 07 月 ( 3 )
最古記事
ブログの開始
(04/16)
開業予定地
(04/16)
東日本大震災と政治で思うこと。その1
(04/17)
東日本大震災と政治で思うこと。その2
(04/17)
強いカープの復活
(04/18)
P R
最古記事
ブログの開始
(04/16)
開業予定地
(04/16)
東日本大震災と政治で思うこと。その1
(04/17)
東日本大震災と政治で思うこと。その2
(04/17)
強いカープの復活
(04/18)
2013
11,26
16:22
審美歯科治療
CATEGORY[雑感]
審美治療を受けるような柄ではありませんが、できあがりに感動したので宣伝をかねてブログにアップします。
奥歯のかぶせものがとれたため、当院の隣にある
ゆめ歯科クリニック
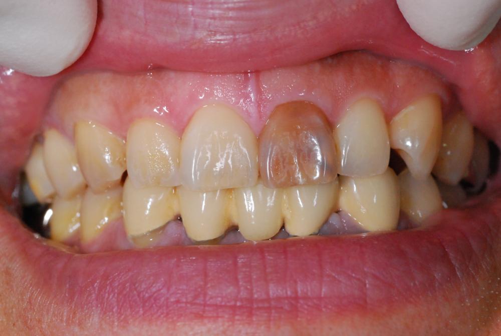
で治療をしてもらいました。その時に、左の上前歯が黒く変色していることを指摘されました。
この歯は高校生の頃に虫歯になり、ものすごく水がしみた覚えがあります。下宿して大朝の田舎の高校に通っていましたが、当然下宿には給湯はありませんでしたので、冬には死にそうな思いでうがいや歯磨きをしていました。しかし、そのうち神経が死んでしまい、感覚がなくなりました。
その後、徐々に歯の色が茶色に変色しました。
別に気にしていませんでしたが、治療ができるといわれたのでお願いすることにしました。
計4回の治療です。
汚い写真で申し訳ありません。
治療前の僕の歯です。茶色く変色しているのがわかります。全体として黄ばんでいることには目をつぶってください。
治療を4回して頂いた後の写真です。周囲の歯とあまり変わらなくなりました。
すごいですよね。
治療費は大人の事情でかけません。
ゆめ歯科クリニックにお問い合わせください。
http://yume-shika.s1.bindsite.jp/
[2回]
PR
http://erythpelas.blog.shinobi.jp/%E9%9B%91%E6%84%9F/%E5%AF%A9%E7%BE%8E%E6%AD%AF%E7%A7%91%E6%B2%BB%E7%99%82
審美歯科治療
コメント[1]
<<
さらば、垂れ幕よ!
|
HOME
|
竹田恒泰氏の講演
>>
コメント
無題
せっかく綺麗な歯にされるなら、全体のホワイトニングをされてから、その全体の白さに合わせたかぶせをシェーディングされたほうが良かったのでは??
前歯のかぶせを白いものにかえるだけなら、前歯ですから健康保険内でも十分に綺麗なものができますし、自費なら5万円程度でメタルボンドやオールセラミックも可能ですよ。先生も接客業なので歯は綺麗な方がいいですよーーー。
【2014/05/1114:55】||HIMI#8de94867d1[
編集する?
]
コメント投稿
NAME:
MAIL:
URL:
COLOR:
Black
LimeGreen
SeaGreen
Teal
FireBrick
Tomato
IndianRed
BurlyWood
SlateGray
DarkSlateBlue
LightPink
DeepPink
DarkOrange
Gold
DimGray
Silver
SUBJECT:
COMMENT:
PASS:
<<
さらば、垂れ幕よ!
|
HOME
|
竹田恒泰氏の講演
>>
忍者ブログ
[PR]